症例集 Case
- 小幡歯科クリニック ホーム
- 症例集
症例集 Case
症例1
初診時

矯正治療後

セラミック装着

| 治療名称 | 右上2先天性欠損のため矯正治療を行ない、同部インプラント治療による審美的な改善。 |
|---|---|
| 総額治療費用(税込) | 539,000円(税込) |
| 総治療期間 | 4ヵ月(矯正治療期間を除く) |
| 治療内容 | |
| 患者の症状 | 生まれつき側切歯(2番目の歯)がなく、犬歯がずれた位置にあり、前歯がそろっていないので見た目をきれいにしてほしい。 |
| 治療方法 | 矯正治療により左右のバランスを整えるため、側切歯(2番目の歯)にスペースを確保し、同部にインプラントを埋入しセラミックで審美修復する。 |
| 治療結果 | 術後10年以上経過しているが、審美的にも機能的にも改善された状態にご自身でも非常に満足されている。 |
| 治療を行なううえでの注意点 | |
| リスク/副作用 | 出血、腫脹、疼痛 |
症例2
初診時

ロケーター装着後

可撤式入れ歯装着

レントゲン写真

| 治療名称 | 下顎インプラントロケーターアタッチメントデンチャー |
|---|---|
| 総額治療費用(税込) | 1,210,000円(税込) |
| 総治療期間 | 3ヵ月 |
| 治療内容 | |
| 患者の症状 | 下顎の入れ歯を他院で作製したが合わず、入れ歯が動く。食事も満足にできず会話も苦労する。 |
| 治療方法 | 若いころから義歯を使っていたため、下顎骨が強度に委縮していた。下歯槽神経まで非常に近いため、骨造成と同時に前歯部に2本のインプラントを埋入し、治癒後ロケーターアタッチメントデンチャーとした。 |
| 治療結果 | 他府県より通院され、15年前にインプラント手術をされた。82歳になられるが、満足に食事ができ現在も定期的に検診で受診されている。 |
| 治療を行なううえでの注意点 | |
| リスク/副作用 | 出血、腫脹、疼痛 |
症例3
-
初診時
-
ジルコニア セラミックブリッジ
| 治療名称 | 下顎ボーンアンカードブリッジ |
|---|---|
| 総額治療費用(税込) | 4,752,000円(税込) |
| 総治療期間 | 5ヵ月 |
| 治療内容 | |
| 患者の症状 | 残存している歯は全てグラつき、部分入れ歯を長年にわたりしていたが痛くて食事ができない。他院で「インプラントはできない」と言われた。 |
| 治療方法 | 重度の歯周病により歯槽骨の破壊が著しく、歯を保存することは無理だった。抜歯後3ヵ月待ちインプラント手術と骨造成を同時に行なった。2ヵ月半の治癒期間を待ち、ジルコニアセラミックでブリッジとした。 |
| 治療結果 | 治療が終了し12年経過しているが、何の問題もなく患者様は非常に満足されている。インプラントを長年にわたり維持させるためには、日常のブラッシングはもちろんのこと、定期的にプロケアを受けることが大切。 |
| 治療を行なううえでの注意点 | |
| リスク/副作用 | 出血、腫脹、疼痛 |
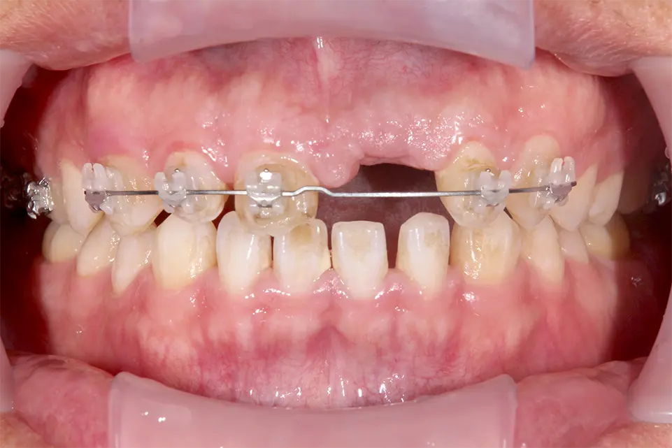
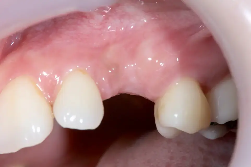
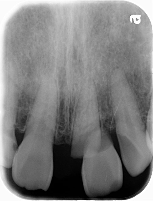
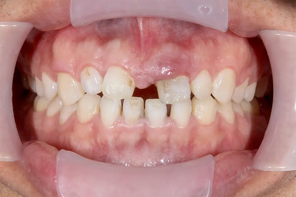
症例4
-
初診時
矯正治療
-
抜歯
ジルコニアセラミック装着
レントゲン写真
| 治療名称 | 右上中切歯が外傷による歯根破折。同部インプラント治療 |
|---|---|
| 総額治療費用(税込) |
骨造成伴うインプラント治療1本649,000円(税込) +セラミック審美治療3本528,000円(税込) |
| 総治療期間 | 7ヵ月(矯正治療期間除く) |
| 治療内容 | |
| 患者の症状 | 歯が動いて痛む。 |
| 治療方法 | レントゲンで精査すると歯根が破折しており保存不可能なので抜歯。 もともと正中離開し審美的にも不良であった。正中離開した状態でそのまま治すのかこの際、審美的にも改善したいのか2つのオプションを提示すると矯正治療をした上で完璧に治したいとの要望があったので矯正治療を行いインプラント治療する計画を立てた。両隣在歯3本はジルコニアセラミック審美治療を行った。 |
| 治療結果 | 術後10年経過しているが患者様は非常に満足されている。 |
| リスク副作用 | 出血、腫脹、疼痛 |
症例5
-
初診時
レントゲン(骨造成前)
-
治療後
レントゲン(骨造成後)
| 治療内容 | 骨造成を伴うインプラント治療 |
|---|---|
| 総額治療費用(税込) | 671,000円(税込) |
| 総治療期間 | 9ヵ月 |
| 患者の症状 | 今まで可撤式部分入れ歯をしていたがインプラント治療希望。他のインプラントクリニックを2件受診したが骨がないので出来ないと言われた。
視診では顕著な骨量不足は認められないがCTで精査したところ垂直的に顕著な骨量不足が認められた。 チタンメッシュによる骨造成およびインプラント治療。 |
| 治療結果 | 術後10年以上経過しているが審美的にも機能的にも非常に満足している。 |
| リスク副作用 | 出血、腫脹、疼痛 |